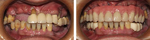
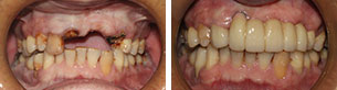
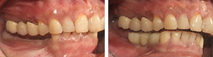
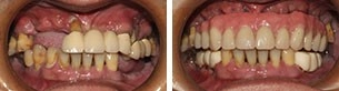
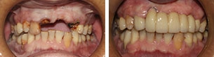
植牙案例分享

植牙前後
案例分享
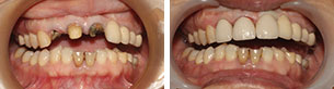
植牙前後
案例分享
植牙前後
案例分享
植牙前後
案例分享

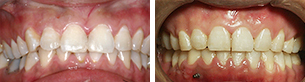
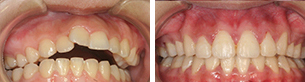
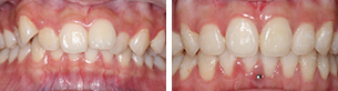
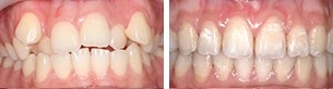
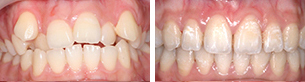
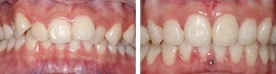
矯正案例分享

矯正前後
案例分享
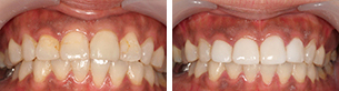
矯正前後
案例分享
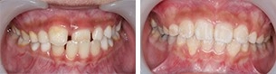
矯正前後
案例分享
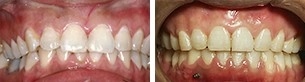
矯正前後
案例分享
矯正前後
案例分享

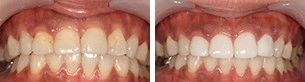
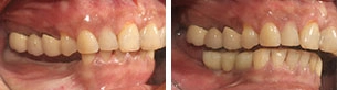
美白貼片案例分享

貼片前後
案例分享
貼片前後
案例分享

聲明:本所療程皆由專業醫生評估後,依照個人口腔狀況進行治療。因每位患者個別狀況不同,術後狀況也不盡相同,需親來本所由醫生評估。